435 Views
Category: Virology: Studies of the Epidemiology of Viral Infections
Poster Session: Virology: Studies of the Epidemiology of Viral Infections
Juliana Mejia- Mertel
Pediatric resident
Universidad Libre, Cali. Colombia.
CALI, Valle del Cauca, Colombia
Disclosure: I do not have any relevant financial / non-financial relationships with any proprietary interests.
Juan P. Rojas -Hernandez
Pediatric infectious diseases specialists
Club Noel Children's Hospital
Cali, Valle del Cauca, Colombia
Disclosure: I do not have any relevant financial / non-financial relationships with any proprietary interests.
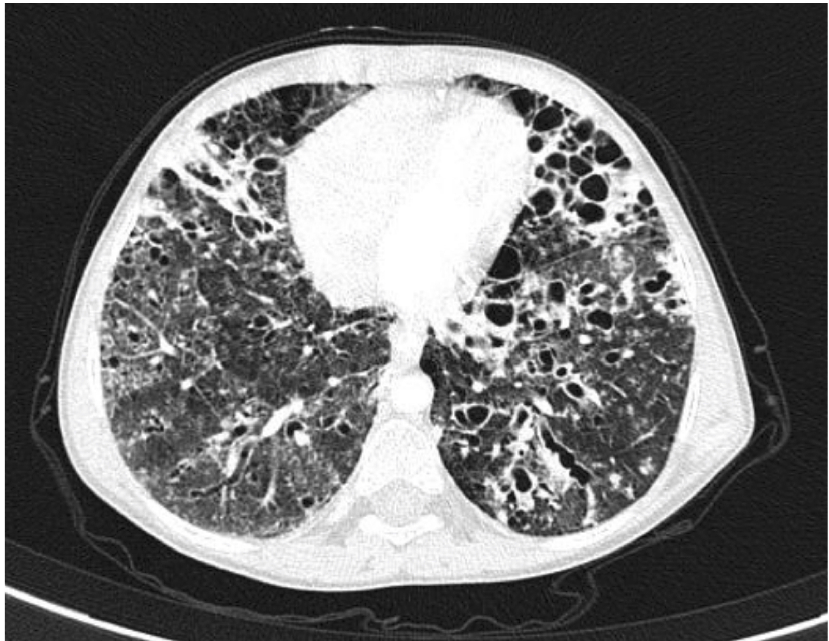
Ground-glass opacity diffusely distributed in both lungs with multiple bronchiectasis involving predominantly lung bases. Cystic images diffusely distributed in both lungs, some subpleural and other centrilobular.