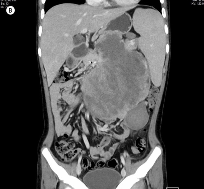
Retroperitoneal and Abdominal Sarcomas
YUANYUAN WAN, MD
senior registra
Peking University International Hospital
Beijing, Beijing, China (People's Republic)
CHENGLI MIAO, PhD
professor
Department of Retroperitoneal Tumors Surgery, Peking University International Hospital
Beijing, Beijing, China (People's Republic)
CHENGHUA LUO, MD, PhD
Chief
Department of Retroperitoneal Tumor Surgery, Peking University International Hospital
Beijing, Beijing, China (People's Republic)
.jpg)
.png)

